Knorpelgewebe

Knorpelgewebe ist neben Knochen das Stützgewebe des menschlichen Körpers. Es entwickelt sich wie Bindegewebe aus dem Mesenchym. Seine besonderen Eigenschaften sind Druckelastizität, die Tatsache, dass er sowohl Gewichte tragen als auch Gleiten von verschiedenen Komponenten gegeneinander ermöglichen kann sowie seine formgebende Wirkung.

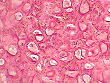
Zellen

Bei Knorpelzellen kann man zwischen einem aktiveren und einem passiveren Stadium unterscheiden. So spricht man am Anfang von Chondroblasten, also "Knorpelbildnern", wenn die Zellen anfangen, extrazelluläre Matrix zu synthetisieren und nach außen abzugeben. Dadurch rücken sie auseinander. Nach einiger Zeit ist jede Zelle ganz von Interzellularsubstanzen umgeben. Ab diesem Stadium spricht man von Chondrozyten. Diese sind auch nur noch begrenzt zur Teilung fähig, da sich die Tochterzellen nach der Teilung nicht voneinander entfernen können, da die interzelluläre Matrix im Weg ist. So liegen je nach Knorpelart zwei bis vier Knorpelzellen eng nebeneinander (im hyalienen Knorpel bis zu acht). Ansammlungen solcher Knorpelzellen bezeichnet man als isogene Gruppen, da alle Zellen aus einem Chondrozyten hervorgegangen sind. Um jede dieser isogenen Gruppen herum befindet sich die sog. Knorpelhöhle. Diese ist im lebenden Gewebe eigentlich nicht vorhanden, d.h. es handelt sich um ein Artefakt, das durch die Präparation entstanden ist; und zwar geschieht dies dadurch, dass bei konventionellen Präparationstechniken dem Gewebe Wasser entzogen wird. Dadurch schrumpfen die Zellen und ein Spalt zur sog. Knorpelkapsel, die die Begrenzung zur extrazellulären Matrix bildet, entsteht. Dieser Spalt hat seinen Namen dadurch erhalten, dass in ihm die Chondrozyten wie in einer Höhle liegen. Außen um diese Höhle und die Knorpelkapsel herum liegt der sog. Knorpelhof. Dieser ist ein Bereich, der sich im histologischen Präparat stärker anfärbt als der Rest der Matrix. Knorpelzellen, -höhle, -kapsel und -hof zusammen bezeichnet man als Chondron bzw. synonym als Territorium. Das Gebiet zwischen zwei Territorien bezeichnet man sinnigerweise als Interterritorium.

Da die Chondrozyten nicht eigenhändig für den Zellbestand innerhalb des Gewebes sorgen können, da sie von den Interzellularsubstanzen wie eingemauert sind, muss das Wachstum von außen erfolgen. Dies ermöglicht das sog. Perichondrium.

Perichondrium

Unter Perichondrium versteht man eine Bindegewebsschicht, die um den Knorpel herumliegt. Man nennt den Vorgang, der dabei abläuft, appositionelles Wachstum, d.h. neue Zellen werden von außen nachgeliefert und nicht innerhalb des Gewebes gebildet. Auch die Versorgung des Gewebes wird durch das Perichondrium gewährleistet. Knorpel ist nämlich grundsätzlich gefäßlos. Von daher müssen alle Nährstoffe vom Perichondrium bzw. der Synovia (Gelenkflüssigkeit) aus durch die extrazelluläre Matrix diffundieren. Allerdings reicht dies auf längere Sicht hin gesehen anscheinend nicht aus, den Knorpel genügend zu ernähren, da sich im Alter immer wieder regressive Veränderungen bemerkbar machen, die auf eine Unterversorgung der Chondrozyten zurückzuführen sind. In diesem Zusammenhang lässt sich auch eine interessante Beobachtung an den Chondrozyten machen: Junge Knorpelzellen sind meist abgeflacht, ältere werden rund, bis sie schließlich hypertrophieren, d.h. sich aufblähen. Dies könnte damit zusammenhängen, dass die Ernährung immer schlechter und schwieriger wird, je weiter die Chondrozyten im Laufe ihres Lebens ins Innere des Knorpels geraten.

Regeneration

Bei Verletzung des Knorpels wachsen Zellen aus dem Perichondrium ein und fangen an, sich zu Chondroblasten zu differenzieren. Als solche bilden sie neue Interzellularsubstanz und sind anschließend von den ursprünglichen Chodnrozyten nicht mehr zu unterscheiden. Allerdings findet dieser Vorgang so optimal nur bei Kindern statt. Adulter Knorpel regeneriert meist nur sehr unvolständig. Besonders wenn das verletzte Gebiet sehr groß oder sehr klein ist, differenzieren sich die Perichondriumszellen nicht zu Chodnroblasten/-zyten, sondern bilden als Bindegewebszellen Kollagentyp I und extrazelluläre Matrix des Bindegewebes. Es entstehen Narben.

Einfluss von Vitaminen und Hormonen

Knorpelaufbau und -abbau werden v.a. durch Hormone und Vitamine gesteuert. So ist Vitamin A für die Reifung des Knorpels maßgeblich, während ohne Vitamin C die Synthese der Kollagenfasern und der Grundsubstanz nicht ablaufen kann. Ohne Vitamin D verkalkt der Knorpel nicht richtig. Hormone beeinflussen v.a. die Synthese von Grundsubstanz. Diese besteht wie auch im Bindegewebe aus Proteoglykanen, Hyaluronsäure und Flüssigkeit. Sie hat von daher auch die Fähigkeit, in hohem Maße Wasser zu speichern. Wachstumshormone schließlich beschleunigen den Knorpelaufbau, während z.B. Kortison ihn hemmt.

Einteilung

Man kann drei verschiedene Arten von Knorpel unterscheiden: Hyalinen Knorpel, elastischen Knorpel und Faserknorpel.

Hyaliner Knorpel

Hyaliner Knorpel ist mit Abstand die häufigste Knorpelart im menschlichen Körper - besonders während der Entwicklung.So bildet er das embryonale Skelett, das nachher durch Knochen ersetzt wird. Außerdem kommt es in der Nase, den Luftwegen (Kehlkopf, Luftröhre, Bronchien) und zur Unterfütterung von Gelenken vor. Durch die große Menge Wasser, die die Interzellularsubstanzen des hyalinen Knorpels (Proteoglykane, Hyluronsäure) binden können, hat diese Knorpelart druckelastische Eigenschaften, d.h. bei Druck verformt er sich bis u einem gewissen Grade, dann setzen aber die Abstoßungskräfte innerhalb der Interzellularsubstanz dem Vorgang einen gewissen Widerstand entgegen und sorgen auch dafür, dass wenn der Druck nachlässt, das Gewebe wieder in seine Ausgangslage zurückfindet. Hyaliner Knorpel ist die häufigste Knorpelart im menschlichen Körper.

Grundsätzlich besteht die extrazelluläre Matrix bei diesem Knorpel aus Grundsubstanz und Fasern. Die Fasern bestehen größtenteils aus Kollagen Typ II. Diese sind im Normalfalle im Lichtmikroskop nicht zu erkennen, da durch die Tatsache, dass sie den gleichen Brechungsindex wie die umgebende Grundsubstanz besitzen, "maskiert" sind und so zu wenig Licht brechen, als dass man sie detektieren könnte. Altert der Knorpel nun, so tritt die sog. Asbestfaserung auf. Bei diesem Alterungsprozess wird nicht mehr genug Wasser eingelagert, so dass die Fasern "demaskiert" und sichtbar werden. Der Faserverlauf des Kollagens ist optimal den herrschenden Verhältnissen angepaßt, d.h. die Fasern verlaufen entlang der Linien des größten Zugs und Druckes (Trajektorien). Grundsätzlich umwickeln sie erst einmal jedes Chondron einzeln, dann mehrere Chondrone zusammen als Gruppe, und schließlich haben sie unter der Oberfläche des Knorpels einen bogeförmigen Verlauf, was zu einer Verdichtung des Fasernetzes führt. So wird der größte Zug und Druck schon an der Oberfläche abgefangen.

Hyaliner Knorpel neigt mehr als die anderen Knorpelarten zur Degeneration. Dabei wird in den meisten Fällen Kalk eingelagert. Dies führt dazu, dass die Diffusion von Nährstoffen nicht mehr richtig funktioniert, die Chondrozyten hypertrophieren und schließlich zugrunde gehen. Allerdings kommt der Verkalkungsprozess des Knorpels auch physiologisch vor und zwar in der Entwicklung beim Umbau des knorpeligen Grundskeletts in Knochen.

Elastischer Knorpel

Elastischer Knorpel zeichnet sich durch starke Einlagerung von elastischen Fasern aus. Diese Fasern bewirken, dass der Knorpel im Gegensatz zum hyalinen Knorpel leicht gelblich wirkt. Man findet ihn in der Ohrmuscheln, in der Wand des äußeren Gehörgangs und im Kehlkopfdeckel. Vergleicht man elastischen Knorpel mit hyalinem Knorpel, so fällt auf, dass sich beide Knorpelarten in gewisser Hinsicht ähneln. Auffällig ist dies im Lichtmikroskop besonders im Hinblick auf die Chondrozyten. Diese zeigen nämlich kaum Unterschiede bis auf die Tatsache, dass die Chondrone des elastischen Knorpels nicht so groß sind wie die des hyalinen und auch nicht so viele Zellen enthalten. Auch elastischer Knorpel ist von einem Perichondrium umgeben und wächst vor allem durch Differenzierung der Zellen dieser Bindegewebsschicht, d.h. appositionell. Ebenfalls keinen Unterschied findet man hinsichtlich der Kollagenfasern: Auch im elastischen Knorpel findet sich v.a. Kollagen Typ II. Allerdings ist elastischer Knorpel durch das dichte Netzwerk aus elastischen Fasern biegsamer als hyaliner Knorpel. Diese Fasern kann man mit typischen Elastikafärbungen (Resorcinfuchsin und Orcein) sichtbar machen. Ein weiterer Unterschied neben den elastischen Fasern ist, dass elastischer Knorpel für degenerative Veränderung weniger anfällig ist als hyaliner Knorpel.






Faserknorpel

Faserknorpel könnte man als Übergangsstruktur zwischen straffem faserigem Bindegewebe und hyalinem Knorpel ansehen. Man findet diese Knorpelart v.a. im äußeren Teil der Bandscheiben (Anulus fibrosus). Typisch sind für ihn dicke Bündel kollagener Fasern, die nicht maskiert, d.h. sichtbar sind und meist aus Typ-I-Kollagen bestehen. Zwischen den einzelnen Faserbündeln liegen kleine Chondrone, die meist nicht aus mehr als ein oder zwei Chondrozyten bestehen. Manchmal ordnen sie sich in langen Reihen zwischen den sich kreuzenden Fasern. Diese sind grundsätzlich nach den herrschenden Zug- und Druckbelastungen orientiert. So verlaufen einzelne Faserschichten z.B. in den Disci intervertebrales (Bandscheiben) im 90°-Winkel zueinander. Durch diese Anordnung kommt dassog. "Fischgrätenmuster" dieses Gewebes zustande.

Im Gegensatz zu den beiden anderen Knorpeltypen besitzt Faserknorpel kein Perichondrium. Allerdings steht er trotzdem mit dem ihn umgebenden Bindegewebe so in Verbindung, dass eins langsam in das andere übergeht. So entwickelt sich Faserknorpel auch dadurch, dass sich Fibroblasten dieses Bindegewebes in Chondrozyten differenzieren.